Wymiana zębów na implanty to temat, który budzi wiele emocji i pytań, zwłaszcza w kontekście kosztów związanych z tym zabiegiem. W Polsce ceny implantów stomatologicznych mogą się znacznie różnić w zależności od wielu czynników, takich jak lokalizacja gabinetu, doświadczenie lekarza oraz rodzaj użytych materiałów. Średni koszt jednego implantu zębowego wynosi od trzech do sześciu tysięcy złotych, jednak w niektórych przypadkach może być znacznie wyższy. Warto również pamiętać, że cena samego implantu to tylko część całkowitych wydatków. Należy doliczyć koszty konsultacji, badań diagnostycznych oraz ewentualnych zabiegów przygotowawczych, takich jak podniesienie dna zatoki czy regeneracja kości. W przypadku większej liczby implantów, ceny mogą być negocjowane, a niektóre kliniki oferują pakiety promocyjne.
Jakie są dodatkowe koszty związane z implantami zębowymi?
Decydując się na wymianę zębów na implanty, warto być świadomym dodatkowych kosztów, które mogą się pojawić w trakcie całego procesu leczenia. Oprócz samego zakupu implantu, pacjenci często muszą uwzględnić wydatki na badania diagnostyczne, takie jak zdjęcia rentgenowskie czy tomografia komputerowa, które są niezbędne do oceny stanu kości i zaplanowania zabiegu. Koszt tych badań może wynosić od kilkuset do kilku tysięcy złotych. Kolejnym istotnym elementem są zabiegi przygotowawcze, które mogą być konieczne w przypadku niedostatecznej ilości kości do osadzenia implantu. Takie procedury jak augmentacja kości czy sinus lifting mogą znacząco zwiększyć całkowity koszt leczenia. Po zakończeniu procesu wszczepienia implantu pacjent może również potrzebować koron lub protez, co wiąże się z dodatkowymi wydatkami.
Jakie czynniki wpływają na cenę implantów zębowych?

Cena implantów zębowych jest determinowana przez wiele czynników, które warto znać przed podjęciem decyzji o leczeniu. Przede wszystkim lokalizacja gabinetu stomatologicznego ma duże znaczenie – w większych miastach ceny usług stomatologicznych zazwyczaj są wyższe niż w mniejszych miejscowościach. Kolejnym istotnym aspektem jest doświadczenie i renoma lekarza prowadzącego zabieg; bardziej uznani specjaliści mogą pobierać wyższe stawki za swoje usługi. Rodzaj użytych materiałów również wpływa na ostateczny koszt – implanty wykonane z wysokiej jakości materiałów biokompatybilnych są droższe, ale zapewniają lepszą trwałość i estetykę. Dodatkowo technologia stosowana podczas zabiegu ma znaczenie; nowoczesne metody takie jak cyfrowe planowanie czy wykorzystanie systemów CAD/CAM mogą zwiększać koszty, ale jednocześnie poprawiają komfort i efektywność leczenia.
Czy istnieją opcje finansowania wymiany zębów na implanty?
Wielu pacjentów zastanawia się nad możliwościami finansowania wymiany zębów na implanty, ponieważ koszty tego zabiegu mogą być znaczne. Na szczęście istnieje wiele opcji, które mogą pomóc w pokryciu wydatków związanych z leczeniem stomatologicznym. Jednym z najpopularniejszych rozwiązań są kredyty medyczne oferowane przez banki oraz instytucje finansowe specjalizujące się w finansowaniu usług zdrowotnych. Takie kredyty często mają korzystne warunki spłaty oraz niskie oprocentowanie, co czyni je atrakcyjną opcją dla pacjentów. Innym rozwiązaniem są programy ratalne oferowane przez kliniki stomatologiczne; wiele gabinetów umożliwia rozłożenie płatności na dogodne raty bez dodatkowych opłat. Warto również sprawdzić dostępność ubezpieczeń zdrowotnych lub pakietów stomatologicznych, które mogą pokrywać część kosztów związanych z implantami.
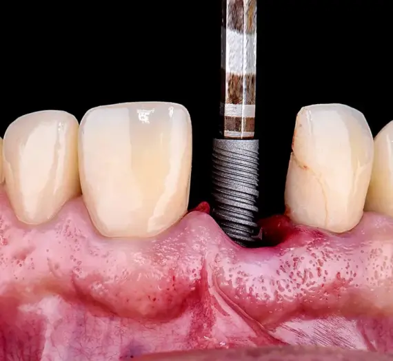
Jak długo trwa proces wymiany zębów na implanty?
Proces wymiany zębów na implanty to skomplikowany i wieloetapowy zabieg, który wymaga odpowiedniego planowania oraz czasu. Całkowity czas leczenia może się znacznie różnić w zależności od indywidualnych potrzeb pacjenta oraz stanu zdrowia jamy ustnej. Zazwyczaj cały proces można podzielić na kilka kluczowych etapów. Pierwszym krokiem jest konsultacja stomatologiczna, podczas której lekarz ocenia stan uzębienia oraz wykonuje niezbędne badania diagnostyczne. Następnie, jeśli to konieczne, mogą być przeprowadzone zabiegi przygotowawcze, takie jak augmentacja kości czy sinus lifting, co może wydłużyć czas oczekiwania na właściwe wszczepienie implantu. Sam zabieg wszczepienia implantu trwa zazwyczaj od jednej do dwóch godzin, a po nim następuje okres gojenia, który trwa od kilku tygodni do kilku miesięcy, w zależności od indywidualnej reakcji organizmu oraz rodzaju zastosowanego implantu. Po zakończeniu procesu gojenia pacjent może przystąpić do kolejnego etapu, czyli osadzenia korony protetycznej na implancie.
Jakie są zalety wymiany zębów na implanty?
Wymiana zębów na implanty niesie ze sobą wiele korzyści, które sprawiają, że jest to coraz bardziej popularna metoda leczenia braków w uzębieniu. Przede wszystkim implanty zębowe są trwałe i mogą służyć przez wiele lat, a nawet całe życie, jeśli są odpowiednio pielęgnowane. W przeciwieństwie do tradycyjnych protez, które mogą powodować dyskomfort i ograniczenia w jedzeniu czy mówieniu, implanty zachowują się jak naturalne zęby, co znacząco poprawia komfort życia pacjentów. Dodatkowo implanty wspierają strukturę kości szczęki, zapobiegając jej zanikowi, co jest szczególnie istotne w przypadku długotrwałych braków zębowych. Estetyka również odgrywa kluczową rolę; implanty są projektowane tak, aby wyglądały i funkcjonowały jak naturalne zęby, co pozwala pacjentom odzyskać pewność siebie w kontaktach międzyludzkich. Warto również zauważyć, że implanty nie wymagają szlifowania sąsiednich zębów, co jest często konieczne przy zakładaniu mostów protetycznych.
Czy każdy może zdecydować się na implanty zębowe?
Decyzja o wszczepieniu implantów zębowych nie jest odpowiednia dla każdego pacjenta i wymaga dokładnej oceny stanu zdrowia jamy ustnej oraz ogólnego stanu zdrowia pacjenta. Istnieje kilka czynników, które mogą wpływać na możliwość przeprowadzenia tego zabiegu. Przede wszystkim kluczowym elementem jest jakość i ilość tkanki kostnej w miejscu planowanego wszczepienia implantu; jeśli kość jest zbyt cienka lub osłabiona, może być konieczne przeprowadzenie dodatkowych zabiegów regeneracyjnych przed wszczepieniem implantu. Ponadto osoby cierpiące na przewlekłe choroby takie jak cukrzyca czy choroby serca powinny być poddane szczegółowej ocenie przez lekarza stomatologa oraz specjalistów medycznych przed podjęciem decyzji o leczeniu. Ważnym czynnikiem jest także styl życia pacjenta; palenie tytoniu oraz nadmierne spożycie alkoholu mogą negatywnie wpływać na proces gojenia i integracji implantu z kością.
Jakie są możliwe powikłania po wszczepieniu implantów?
Jak każdy zabieg chirurgiczny, wszczepienie implantów zębowych wiąże się z ryzykiem wystąpienia powikłań. Choć większość pacjentów przechodzi ten proces bezproblemowo, istnieją pewne potencjalne komplikacje, które warto znać przed podjęciem decyzji o leczeniu. Jednym z najczęstszych problemów jest infekcja w miejscu wszczepienia implantu; może ona wystąpić zarówno podczas zabiegu, jak i w trakcie procesu gojenia. Objawy infekcji obejmują ból, obrzęk oraz ropienie wokół implantu. Innym możliwym powikłaniem jest niewłaściwa integracja implantu z kością; jeśli implant nie zostanie prawidłowo osadzony lub tkanka kostna nie będzie wystarczająco mocna, może dojść do jego luzowania lub całkowitego wypadnięcia. Również uszkodzenie nerwów lub naczyń krwionośnych podczas zabiegu to rzadkie, ale poważne powikłanie.
Jak dbać o implanty zębowe po ich wszczepieniu?
Prawidłowa pielęgnacja implantów zębowych jest kluczowa dla ich długowieczności oraz zdrowia jamy ustnej po zakończeniu procesu leczenia. Po wszczepieniu implantu należy szczególnie zwrócić uwagę na higienę jamy ustnej; regularne szczotkowanie zębów oraz nitkowanie powinno stać się codziennym rytuałem każdego pacjenta. Ważne jest również stosowanie odpowiednich środków czyszczących przeznaczonych do pielęgnacji implantów oraz unikanie twardych pokarmów w pierwszych tygodniach po zabiegu, aby nie obciążać nowego implantu. Regularne wizyty kontrolne u stomatologa są niezbędne do monitorowania stanu zdrowia implantu oraz otaczających tkanek; lekarz będzie mógł wykryć ewentualne problemy we wczesnym stadium i wdrożyć odpowiednie działania naprawcze. Należy również pamiętać o unikaniu używek takich jak papierosy czy alkohol, które mogą negatywnie wpłynąć na proces gojenia oraz integrację implantu z kością.
Jakie są alternatywy dla implantów zębowych?
Dla osób rozważających wymianę brakujących zębów istnieje kilka alternatyw dla implantów stomatologicznych, które mogą być mniej inwazyjne lub bardziej dostępne finansowo. Jedną z najpopularniejszych opcji są mosty protetyczne; most składa się z dwóch koron umieszczonych na zdrowych zębach po obu stronach luki oraz sztucznego zęba umieszczonego pomiędzy nimi. Mosty są tańsze niż implanty i mogą być wykonane szybciej, jednak wymagają szlifowania sąsiednich zdrowych zębów co może prowadzić do ich osłabienia w przyszłości. Inną opcją są protezy ruchome; choć są one mniej stabilne niż implanty czy mosty i mogą powodować dyskomfort podczas jedzenia lub mówienia, stanowią one rozwiązanie dla osób starszych lub tych mających ograniczone możliwości finansowe. Warto również rozważyć zastosowanie protez stałych mocowanych do istniejących zębów lub innych struktur w jamie ustnej jako alternatywy dla pełnych protez ruchomych.




