Koszty implantów zębowych w Lublinie mogą się znacznie różnić w zależności od wielu czynników. Przede wszystkim, ceny mogą być uzależnione od doświadczenia stomatologa, jakości materiałów użytych do produkcji implantów oraz lokalizacji kliniki. W Lublinie można znaleźć zarówno prywatne gabinety stomatologiczne, jak i placówki publiczne, co również wpływa na ostateczny koszt zabiegu. Średni koszt jednego implantu zębowego w Lublinie wynosi zazwyczaj od 3000 do 6000 złotych, ale warto pamiętać, że cena ta może obejmować tylko sam implant, a dodatkowe usługi, takie jak konsultacje czy zabiegi przygotowawcze, mogą zwiększyć całkowity wydatek. Warto także zwrócić uwagę na możliwość rozłożenia płatności na raty lub skorzystania z programów lojalnościowych oferowanych przez niektóre kliniki. Ponadto, niektóre placówki oferują promocje lub zniżki dla nowych pacjentów, co może być korzystne dla osób planujących zabieg.
Co wpływa na cenę implantów zębowych w Lublinie?
Cena implantów zębowych w Lublinie jest determinowana przez wiele czynników, które warto uwzględnić przy wyborze odpowiedniej kliniki. Po pierwsze, jakość materiałów używanych do produkcji implantów ma kluczowe znaczenie dla ich trwałości i funkcjonalności. Implanty wykonane z wysokiej jakości tytanu są zazwyczaj droższe, ale zapewniają lepsze rezultaty oraz dłuższą żywotność. Kolejnym czynnikiem jest doświadczenie i kwalifikacje stomatologa przeprowadzającego zabieg. Specjaliści z wieloletnim stażem mogą pobierać wyższe stawki za swoje usługi, jednak ich wiedza i umiejętności mogą wpłynąć na sukces całej procedury. Dodatkowo, lokalizacja kliniki ma znaczenie – gabinety znajdujące się w centrum miasta mogą mieć wyższe ceny ze względu na wyższe koszty wynajmu lokalu. Warto również zwrócić uwagę na dodatkowe usługi oferowane przez klinikę, takie jak diagnostyka obrazowa czy opieka pooperacyjna, które mogą wpłynąć na całkowity koszt leczenia.
Jakie są zalety stosowania implantów zębowych w Lublinie?

Implanty zębowe w Lublinie cieszą się coraz większą popularnością ze względu na liczne korzyści, jakie oferują pacjentom. Przede wszystkim są one doskonałym rozwiązaniem dla osób borykających się z utratą zębów, ponieważ pozwalają na przywrócenie pełnej funkcji żucia oraz estetyki uśmiechu. Dzięki zastosowaniu nowoczesnych technologii implanty są niezwykle trwałe i odporne na uszkodzenia, co sprawia, że mogą służyć przez wiele lat bez konieczności wymiany. Dodatkowo, implanty wspierają zdrowie jamy ustnej poprzez zapobieganie utracie kości szczęki, co często występuje po ekstrakcji zębów naturalnych. W przeciwieństwie do tradycyjnych protez, które mogą powodować dyskomfort i ograniczać zdolność do jedzenia twardych pokarmów, implanty są stabilne i nie przesuwają się podczas mówienia czy jedzenia. Co więcej, wiele klinik w Lublinie oferuje kompleksową opiekę przed- i pooperacyjną oraz indywidualne podejście do pacjenta, co zwiększa komfort całego procesu leczenia.
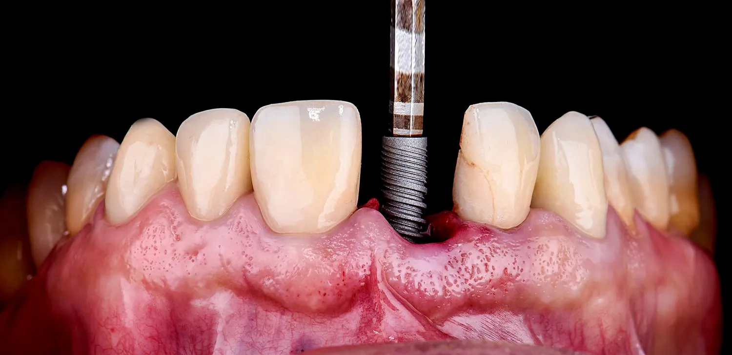
Jak wygląda proces zakupu implantów zębowych w Lublinie?
Proces zakupu implantów zębowych w Lublinie rozpoczyna się od wizyty u stomatologa specjalizującego się w implantologii. Podczas pierwszej konsultacji lekarz przeprowadza szczegółowy wywiad medyczny oraz ocenia stan zdrowia jamy ustnej pacjenta. Na podstawie tych informacji lekarz może zaproponować odpowiedni plan leczenia oraz oszacować koszty związane z zabiegiem. Następnie wykonuje się zdjęcia rentgenowskie lub tomografię komputerową, aby dokładnie ocenić warunki anatomiczne oraz zaplanować umiejscowienie implantu. Po zaakceptowaniu planu leczenia następuje etap chirurgiczny, podczas którego implant jest wszczepiany w kość szczęki lub żuchwy. Po zabiegu konieczna jest okresowa kontrola oraz czas gojenia się tkanek wokół implantu. Po zakończeniu procesu gojenia można przystąpić do wykonania korony protetycznej, która zostanie zamocowana na implancie. Cały proces może trwać od kilku miesięcy do roku w zależności od indywidualnych potrzeb pacjenta oraz ewentualnych dodatkowych zabiegów przygotowawczych.
Jakie są najczęstsze pytania dotyczące implantów zębowych w Lublinie?
Wielu pacjentów ma liczne pytania dotyczące implantów zębowych, zwłaszcza jeśli rozważają ten zabieg po raz pierwszy. Jednym z najczęściej zadawanych pytań jest to, jak długo trwa proces leczenia i kiedy można oczekiwać ostatecznych rezultatów. Warto zaznaczyć, że czas leczenia może się różnić w zależności od indywidualnych warunków anatomicznych pacjenta oraz ewentualnych dodatkowych zabiegów, takich jak podniesienie dna zatoki czy przeszczep kości. Kolejnym istotnym zagadnieniem jest kwestia bólu i dyskomfortu podczas zabiegu. W większości przypadków stosuje się znieczulenie miejscowe, co sprawia, że pacjenci nie odczuwają bólu w trakcie wszczepiania implantu. Po zabiegu mogą wystąpić niewielkie dolegliwości, które można złagodzić za pomocą leków przeciwbólowych. Pacjenci często pytają także o trwałość implantów oraz ich pielęgnację. Przy odpowiedniej higienie jamy ustnej oraz regularnych wizytach kontrolnych implanty mogą służyć przez wiele lat, a nawet całe życie. Ostatnim ważnym pytaniem jest koszt zabiegu oraz dostępne opcje finansowania.
Jakie są różnice między implantami a tradycyjnymi protezami w Lublinie?
Implanty zębowe i tradycyjne protezy to dwa różne rozwiązania stosowane w przypadku utraty zębów, które mają swoje unikalne zalety i wady. Implanty są wszczepiane bezpośrednio w kość szczęki, co zapewnia im stabilność i naturalny wygląd. Dzięki temu pacjenci mogą cieszyć się pełną funkcjonalnością żucia oraz estetyką uśmiechu, co często nie jest możliwe przy użyciu protez. Protezy natomiast są ruchomymi uzupełnieniami, które opierają się na dziąsłach i wymagają regularnego dopasowywania ze względu na zmiany anatomiczne w jamie ustnej. W porównaniu do implantów, protezy mogą powodować dyskomfort oraz ograniczać zdolność do jedzenia twardych pokarmów. Dodatkowo, protezy mogą wpłynąć na wymowę pacjenta, co również może być problematyczne dla wielu osób. Z drugiej strony, protezy są zazwyczaj tańszym rozwiązaniem początkowym i nie wymagają chirurgicznego wszczepienia, co czyni je bardziej dostępnymi dla niektórych pacjentów. Jednakże długoterminowe koszty związane z utrzymaniem protez mogą być wyższe niż inwestycja w implanty.
Jakie są opinie pacjentów na temat implantów zębowych w Lublinie?
Opinie pacjentów na temat implantów zębowych w Lublinie są zazwyczaj pozytywne, co świadczy o wysokiej jakości usług świadczonych przez lokalne kliniki stomatologiczne. Wielu pacjentów podkreśla znaczenie komfortu oraz estetyki uzyskanej dzięki wszczepieniu implantów. Osoby, które zdecydowały się na ten zabieg, często zauważają znaczną poprawę jakości życia – możliwość swobodnego jedzenia twardych pokarmów oraz pewność siebie związana z pięknym uśmiechem to aspekty, które mają ogromne znaczenie dla ich samopoczucia. Pacjenci chwalą również profesjonalizm lekarzy oraz personelu medycznego, którzy zapewniają kompleksową opiekę przed- i pooperacyjną. Wiele osób zwraca uwagę na indywidualne podejście do każdego przypadku oraz szczegółowe wyjaśnienie wszystkich etapów leczenia. Oczywiście istnieją także negatywne opinie związane głównie z kosztami zabiegów lub obawami dotyczącymi bólu podczas procedury chirurgicznej. Niemniej jednak większość pacjentów uważa, że inwestycja w implanty jest opłacalna i przynosi długotrwałe korzyści zdrowotne oraz estetyczne.
Jak przygotować się do zabiegu wszczepienia implantu w Lublinie?
Przygotowanie do zabiegu wszczepienia implantu zębowego w Lublinie jest kluczowym elementem sukcesu całej procedury. Przed przystąpieniem do zabiegu pacjent powinien odbyć szczegółową konsultację ze stomatologiem specjalizującym się w implantologii. Lekarz przeprowadzi wywiad medyczny oraz oceni stan zdrowia jamy ustnej pacjenta, wykonując odpowiednie badania diagnostyczne takie jak zdjęcia rentgenowskie czy tomografia komputerowa. Na podstawie tych informacji lekarz będzie mógł zaplanować optymalny przebieg leczenia oraz omówić wszystkie etapy procedury. Ważnym krokiem przed zabiegiem jest także zadbanie o odpowiednią higienę jamy ustnej – zaleca się dokładne oczyszczenie zębów oraz dziąseł przed wizytą u stomatologa. Pacjenci powinni również poinformować lekarza o wszystkich przyjmowanych lekach oraz ewentualnych alergiach, które mogą wpłynąć na przebieg zabiegu lub proces gojenia. W dniu zabiegu warto zadbać o komfort psychiczny – relaksacja i pozytywne nastawienie mogą pomóc w zmniejszeniu stresu przed procedurą chirurgiczną.
Jak długo trwa gojenie po wszczepieniu implantu zębowego?
Czas gojenia po wszczepieniu implantu zębowego może się różnić w zależności od indywidualnych warunków zdrowotnych pacjenta oraz skomplikowania samego zabiegu. Zazwyczaj proces gojenia trwa od kilku tygodni do kilku miesięcy. W pierwszych dniach po operacji pacjenci mogą odczuwać niewielki ból lub dyskomfort, który można złagodzić za pomocą leków przeciwbólowych przepisanych przez lekarza. Ważne jest również przestrzeganie zaleceń dotyczących diety – zaleca się unikanie twardych pokarmów oraz spożywanie miękkich potraw przez pierwsze dni po zabiegu. Po około 10-14 dniach następuje usunięcie szwów (jeśli były stosowane), a następnie lekarz ocenia postęp gojenia tkanek wokół implantu. W przypadku braku komplikacji gojenie może trwać od 3 do 6 miesięcy, zanim można przystąpić do wykonania korony protetycznej na implancie. Warto pamiętać, że każdy organizm reaguje inaczej na proces gojenia i niektóre osoby mogą potrzebować więcej czasu na pełną regenerację tkanek kostnych i dziąseł wokół implantu.
Jak dbać o implanty zębowe po ich wszczepieniu?
Prawidłowa pielęgnacja implantów zębowych po ich wszczepieniu jest kluczowa dla zapewnienia ich długowieczności i zdrowia jamy ustnej. Po zakończeniu procesu gojenia należy stosować się do zaleceń stomatologa dotyczących higieny jamy ustnej – regularne szczotkowanie zębów co najmniej dwa razy dziennie oraz nitkowanie to podstawowe zasady dbania o zdrowe dziąsła i otaczające tkanki kostne. Ponadto warto korzystać z płynów do płukania jamy ustnej zawierających składniki antybakteryjne, które pomagają utrzymać świeżość oddechu i zapobiegać infekcjom wokół implantu. Regularne wizyty kontrolne u stomatologa są równie ważne – zaleca się ich odbywanie co 6-12 miesięcy w celu monitorowania stanu zdrowia implantów oraz przeprowadzania profesjonalnego czyszczenia jamy ustnej.







