Implanty zębowe to nowoczesne rozwiązanie, które zyskuje coraz większą popularność wśród osób borykających się z problemem braków w uzębieniu. Warto wiedzieć, że implanty są sztucznymi korzeniami zębów, które są wszczepiane w kość szczęki lub żuchwy. Proces ich zakupu i wszczepienia wymaga dokładnej diagnostyki oraz oceny stanu zdrowia pacjenta. W przypadku braku wystarczającej ilości kości, lekarz może zalecić zabieg augmentacji kości, który pozwoli na prawidłowe umiejscowienie implantu. Należy również pamiętać, że implanty zębowe mogą być stosowane zarówno u osób dorosłych, jak i młodszych, pod warunkiem, że ich szczęka jest już w pełni rozwinięta. Warto również zwrócić uwagę na materiały, z których wykonane są implanty. Najczęściej stosowanym materiałem jest tytan, który charakteryzuje się wysoką biokompatybilnością oraz odpornością na korozję.
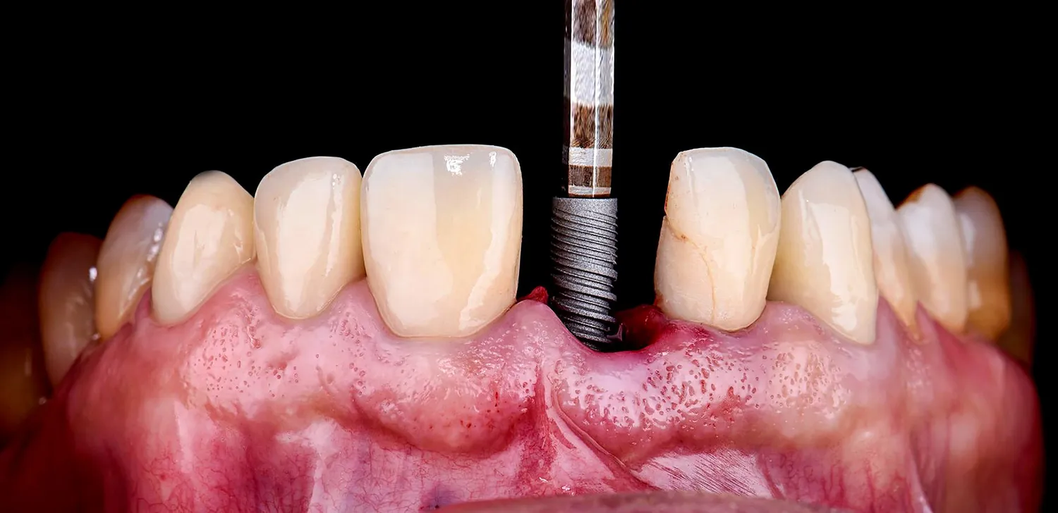
Jak wygląda proces zakupu i wszczepienia implantów zębowych?

Zakup i wszczepienie implantów zębowych to proces składający się z kilku etapów, które wymagają współpracy pacjenta z lekarzem stomatologiem. Pierwszym krokiem jest konsultacja stomatologiczna, podczas której lekarz przeprowadza szczegółowy wywiad medyczny oraz ocenia stan uzębienia pacjenta. W tym etapie mogą być wykonane zdjęcia rentgenowskie lub tomografia komputerowa, które pomogą w ocenie struktury kości oraz zaplanowaniu zabiegu. Po dokładnej analizie stanu zdrowia pacjenta lekarz podejmuje decyzję o rodzaju implantu oraz technice jego wszczepienia. Kolejnym krokiem jest zabieg chirurgiczny, podczas którego implant zostaje umieszczony w kości. Po tym etapie następuje okres gojenia, który trwa zazwyczaj od kilku tygodni do kilku miesięcy. W tym czasie implant integruje się z kością, co jest kluczowe dla jego stabilności.
Jakie są zalety i wady stosowania implantów zębowych?
Implanty zębowe mają wiele zalet, które sprawiają, że są one preferowanym rozwiązaniem dla osób z brakami w uzębieniu. Przede wszystkim zapewniają one naturalny wygląd i funkcjonalność zębów, co wpływa na komfort życia pacjentów. Dzięki nim możliwe jest przywrócenie pełnej zdolności do żucia oraz poprawa wymowy. Implanty nie wpływają także na sąsiednie zęby, co jest istotne w porównaniu do tradycyjnych mostów protetycznych, które często wymagają szlifowania zdrowych zębów. Dodatkowo implanty pomagają w zachowaniu struktury kości szczęki, co zapobiega jej zanikanie po utracie zębów. Niemniej jednak istnieją również pewne wady związane ze stosowaniem implantów. Proces ich zakupu i wszczepienia może być kosztowny i czasochłonny. Ponadto nie każdy pacjent kwalifikuje się do zabiegu ze względu na stan zdrowia czy ilość dostępnej kości.
Jak dbać o implanty zębowe po ich wszczepieniu?
Prawidłowa pielęgnacja implantów zębowych jest kluczowa dla ich długowieczności oraz zdrowia jamy ustnej. Po wszczepieniu implantu należy przestrzegać zaleceń lekarza stomatologa dotyczących higieny jamy ustnej oraz regularnych wizyt kontrolnych. Codzienna pielęgnacja powinna obejmować szczotkowanie zębów co najmniej dwa razy dziennie oraz nitkowanie przestrzeni międzyzębowych, aby usunąć resztki pokarmowe i płytkę bakteryjną. Warto również rozważyć użycie irygatora dentystycznego, który skutecznie dociera do trudno dostępnych miejsc wokół implantu. Oprócz codziennej higieny ważne jest także unikanie nadmiernego obciążania implantu poprzez żucie twardych pokarmów czy otwieranie opakowań zębami. Regularne wizyty u stomatologa pozwalają na monitorowanie stanu implantu oraz wykrywanie ewentualnych problemów na wczesnym etapie.
Jakie są najczęstsze pytania dotyczące implantów zębowych?
Wielu pacjentów ma liczne pytania dotyczące implantów zębowych, które mogą wpływać na ich decyzję o podjęciu leczenia. Jednym z najczęściej zadawanych pytań jest to, jak długo trwa proces wszczepienia implantu. Zazwyczaj cały proces, od konsultacji do zakończenia leczenia protetycznego, może trwać od kilku miesięcy do nawet roku, w zależności od indywidualnych warunków pacjenta. Innym istotnym zagadnieniem jest ból związany z zabiegiem. Warto zaznaczyć, że podczas wszczepienia implantu stosuje się znieczulenie miejscowe, co minimalizuje dyskomfort. Po zabiegu pacjenci mogą odczuwać lekkie dolegliwości bólowe, które można złagodzić za pomocą leków przeciwbólowych. Kolejną kwestią jest cena implantów zębowych, która może się znacznie różnić w zależności od kliniki oraz zastosowanych materiałów. Warto pamiętać, że inwestycja w implanty to długoterminowe rozwiązanie, które może przynieść korzyści zdrowotne i estetyczne. Pacjenci często pytają również o trwałość implantów.
Jakie są alternatywy dla implantów zębowych?
Choć implanty zębowe są uznawane za jedno z najlepszych rozwiązań w przypadku braków w uzębieniu, istnieją również inne opcje, które warto rozważyć. Jedną z najpopularniejszych alternatyw są mosty protetyczne, które polegają na osadzeniu sztucznych zębów na zdrowych filarach. Mosty mogą być skuteczne w przywracaniu funkcji żucia i estetyki uśmiechu, jednak wymagają szlifowania sąsiednich zdrowych zębów, co może prowadzić do ich osłabienia. Innym rozwiązaniem są protezy ruchome, które są tańszą alternatywą dla implantów. Protezy mogą być całkowite lub częściowe i są stosowane w przypadkach większych braków w uzębieniu. Choć protezy są łatwe do usunięcia i czyszczenia, mogą być mniej komfortowe niż implanty oraz wymagać przyzwyczajenia się do nowego sposobu żucia i mowy. Warto również wspomnieć o technikach regeneracji kości, które mogą być stosowane przed wszczepieniem implantu u pacjentów z niedoborem kości.
Jakie są najnowsze technologie w dziedzinie implantologii?
Implantologia to dziedzina stomatologii, która nieustannie się rozwija dzięki nowym technologiom i innowacjom. Jednym z najważniejszych osiągnięć jest zastosowanie technologii cyfrowej w planowaniu zabiegów wszczepienia implantów. Dzięki skanowaniu 3D oraz programom komputerowym lekarze mogą dokładnie zaplanować położenie implantu oraz ocenić warunki anatomiczne pacjenta jeszcze przed zabiegiem. To pozwala na zwiększenie precyzji oraz zmniejszenie ryzyka powikłań podczas operacji. Kolejnym ważnym trendem jest wykorzystanie materiałów biokompatybilnych o wysokiej jakości, takich jak tytan czy ceramika cyrkonowa, które zapewniają lepszą integrację implantu z kością oraz estetykę końcowego efektu. W ostatnich latach pojawiły się także innowacyjne techniki wszczepiania implantów, takie jak metoda „one day” czy „immediate loading”, które pozwalają na szybkie osadzenie korony na implancie już w dniu zabiegu. Takie podejście znacząco skraca czas leczenia i zwiększa komfort pacjentów.
Jakie są koszty związane z leczeniem implantologicznym?
Koszty związane z leczeniem implantologicznym mogą być znaczące i różnią się w zależności od wielu czynników. Przede wszystkim cena implantu zależy od jego rodzaju oraz materiału użytego do produkcji. Implanty tytanowe są zazwyczaj droższe niż te wykonane z ceramiki cyrkonowej ze względu na swoje właściwości biokompatybilne oraz wytrzymałość. Dodatkowo koszty mogą wzrosnąć w przypadku konieczności przeprowadzenia dodatkowych zabiegów, takich jak augmentacja kości czy sinus lift, które mają na celu przygotowanie miejsca do wszczepienia implantu. Warto również uwzględnić wydatki związane z koronami protetycznymi oraz wizytami kontrolnymi po zabiegu. Często kliniki oferują różne formy finansowania leczenia, takie jak raty czy leasing medyczny, co może ułatwić pacjentom podjęcie decyzji o leczeniu.
Jakie są opinie pacjentów o implantach zębowych?
Opinie pacjentów na temat implantów zębowych są zazwyczaj pozytywne i wskazują na wiele korzyści płynących z tego rozwiązania. Osoby, które zdecydowały się na wszczepienie implantów często podkreślają poprawę jakości życia oraz komfortu codziennego funkcjonowania. Dzięki implantom pacjenci mogą cieszyć się naturalnym wyglądem uśmiechu oraz pełną funkcjonalnością uzębienia, co wpływa na ich pewność siebie i samopoczucie psychiczne. Wiele osób zauważa również znaczną poprawę w zakresie jedzenia i mowy po wszczepieniu implantu w porównaniu do tradycyjnych protez ruchomych czy mostów protetycznych. Niemniej jednak niektórzy pacjenci zgłaszają obawy dotyczące kosztów leczenia oraz czasu potrzebnego na przeprowadzenie całego procesu. Ważne jest jednak, aby przed podjęciem decyzji o wszczepieniu implantu skonsultować się ze specjalistą oraz dokładnie omówić wszystkie aspekty związane z leczeniem.
Jakie są przeciwwskazania do wszczepienia implantów?
Przed podjęciem decyzji o wszczepieniu implantów zębowych warto znać przeciwwskazania do tego typu zabiegów, aby uniknąć ewentualnych komplikacji zdrowotnych. Jednym z głównych przeciwwskazań są choroby ogólnoustrojowe takie jak cukrzyca czy choroby serca, które mogą wpływać na proces gojenia się tkanek pooperacyjnych oraz integrację implantu z kością. Pacjenci cierpiący na schorzenia autoimmunologiczne również powinni zachować ostrożność przy podejmowaniu decyzji o wszczepieniu implantu ze względu na ryzyko powikłań związanych z gojeniem ran. Ponadto osoby palące mają zwiększone ryzyko niepowodzeń związanych z wszczepieniem implantu ze względu na negatywny wpływ nikotyny na krążenie krwi oraz proces gojenia tkanek.
Jakie są najczęstsze powikłania po wszczepieniu implantów zębowych?
Po wszczepieniu implantów zębowych mogą wystąpić różne powikłania, które warto znać, aby móc szybko zareagować w przypadku ich pojawienia się. Jednym z najczęstszych problemów jest infekcja w miejscu wszczepienia implantu, która może prowadzić do stanu zapalnego oraz bólu. Dlatego tak ważne jest przestrzeganie zasad higieny jamy ustnej oraz regularne wizyty kontrolne u stomatologa. Innym możliwym powikłaniem jest niepowodzenie integracji implantu z kością, co może być spowodowane niewłaściwym umiejscowieniem implantu lub brakiem odpowiedniej ilości kości. W takich przypadkach konieczne może być usunięcie implantu i przeprowadzenie dodatkowych zabiegów regeneracyjnych. Pacjenci mogą także doświadczać bólu czy dyskomfortu w okolicy implantu, co może być związane z nadmiernym obciążeniem lub reakcją organizmu na materiał implantu. Warto również pamiętać o ryzyku uszkodzenia sąsiednich zębów lub nerwów podczas zabiegu, co może prowadzić do dalszych komplikacji.








