Implanty zębowe to coraz bardziej popularne rozwiązanie w stomatologii, które pozwala na odbudowę brakujących zębów. Koszt implantów zębowych może się znacznie różnić w zależności od kraju, w którym są one wykonywane. W krajach zachodnich, takich jak Stany Zjednoczone czy Niemcy, ceny mogą sięgać nawet kilku tysięcy dolarów za jeden implant, co często obejmuje również koszty dodatkowych zabiegów, takich jak tomografia komputerowa czy przeszczepy kości. W Polsce ceny implantów są znacznie niższe i wahają się od kilku do kilkunastu tysięcy złotych za cały proces, w zależności od wybranej kliniki oraz materiałów użytych do produkcji implantów. Warto również zauważyć, że niektóre kraje oferują turystykę stomatologiczną, gdzie pacjenci mogą połączyć leczenie z wakacjami, co czyni tę opcję jeszcze bardziej atrakcyjną finansowo.
Jakie czynniki wpływają na cenę implantów zębowych?
Cena implantów zębowych jest determinowana przez wiele czynników, które warto znać przed podjęciem decyzji o leczeniu. Przede wszystkim rodzaj implantu ma ogromne znaczenie; istnieją różne materiały, takie jak tytan czy ceramika, które różnią się ceną oraz właściwościami. Kolejnym istotnym czynnikiem jest doświadczenie lekarza stomatologa oraz renoma kliniki, w której przeprowadzany jest zabieg. Im bardziej uznana placówka i im większe doświadczenie specjalisty, tym wyższa może być cena za usługi. Dodatkowo lokalizacja kliniki również wpływa na koszt; w dużych miastach ceny mogą być wyższe niż w mniejszych miejscowościach. Nie można zapominać o dodatkowych procedurach, takich jak zdjęcia rentgenowskie czy przeszczepy kości, które mogą zwiększyć całkowity koszt leczenia.
Czy istnieją tańsze alternatywy dla implantów zębowych?

Implanty zębowe są skutecznym rozwiązaniem dla osób borykających się z brakami w uzębieniu, jednak ich koszt może być dla wielu pacjentów zbyt wysoki. Dlatego warto rozważyć tańsze alternatywy, które mogą okazać się równie skuteczne. Jednym z najpopularniejszych rozwiązań są mosty protetyczne, które można stosować w przypadku braku jednego lub kilku zębów. Mosty są zazwyczaj tańsze niż implanty i mogą być wykonane w krótszym czasie. Inną opcją są protezy ruchome lub stałe, które również stanowią skuteczną metodę odbudowy uzębienia. Choć protezy nie są tak trwałe jak implanty i mogą wymagać częstszej wymiany, to ich koszt jest znacznie niższy.
Jakie są długoterminowe koszty związane z implantami?
Decydując się na implanty zębowe, warto pamiętać o długoterminowych kosztach związanych z ich utrzymaniem oraz ewentualnymi dodatkowymi zabiegami. Chociaż początkowy koszt zakupu implantu może wydawać się wysoki, należy uwzględnić także wydatki na regularne wizyty kontrolne u stomatologa oraz ewentualne naprawy czy wymiany elementów protetycznych. Implanty wymagają odpowiedniej higieny jamy ustnej oraz regularnych przeglądów stomatologicznych, aby zapewnić ich trwałość i funkcjonalność przez wiele lat. Czasami konieczne mogą być dodatkowe zabiegi związane z regeneracją kości lub leczeniem chorób przyzębia, co również wiąże się z dodatkowymi kosztami.
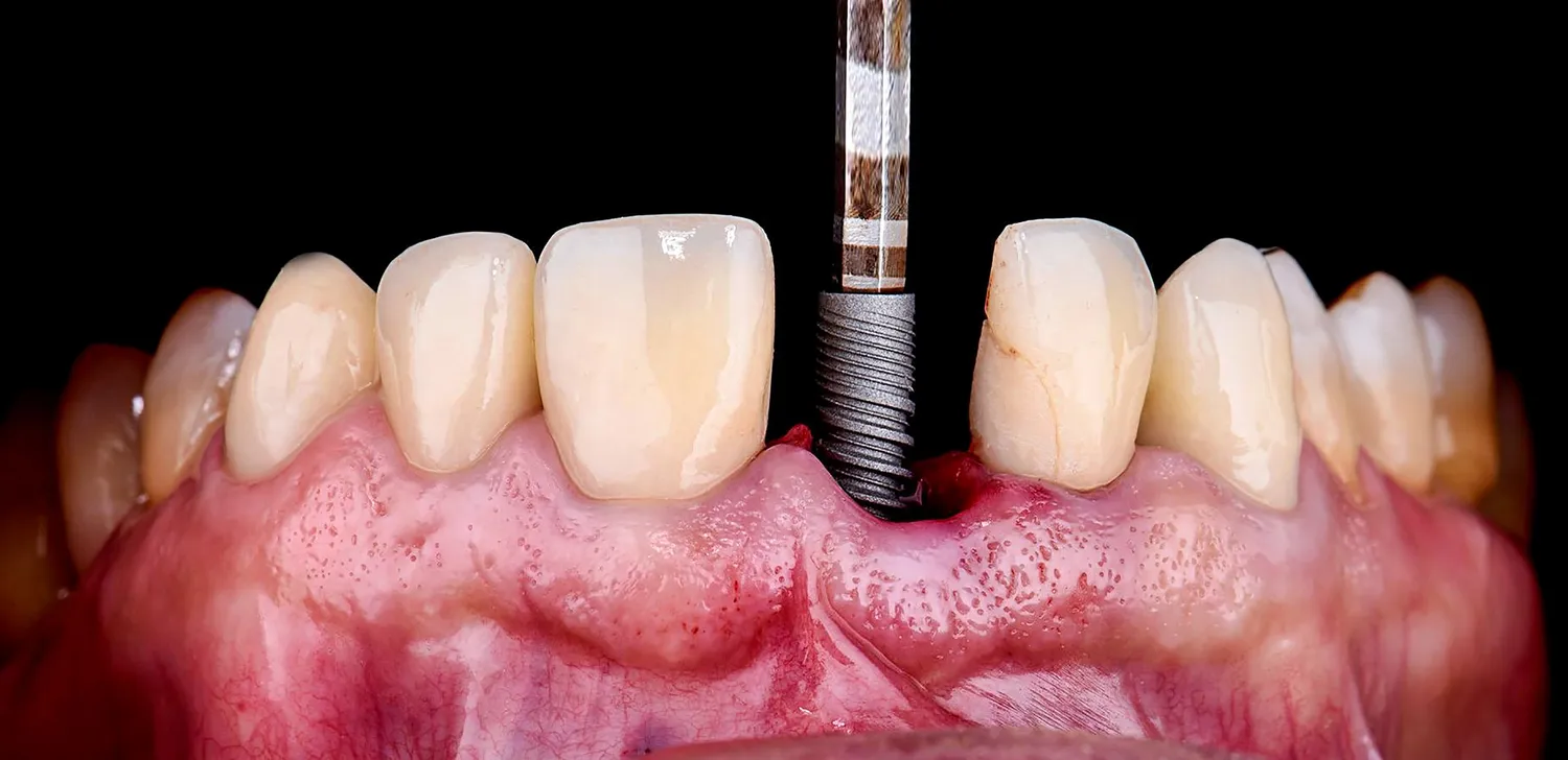
Jakie są najnowsze technologie w implantologii stomatologicznej?
W ostatnich latach implantologia stomatologiczna przeszła znaczną ewolucję, wprowadzając nowoczesne technologie, które znacznie poprawiają skuteczność i komfort zabiegów. Jednym z najważniejszych osiągnięć jest zastosowanie technologii cyfrowych, takich jak skanowanie 3D oraz drukowanie w technologii CAD/CAM. Dzięki tym rozwiązaniom możliwe jest precyzyjne zaplanowanie zabiegu oraz wykonanie indywidualnych implantów, które idealnie pasują do anatomicznych warunków pacjenta. Kolejnym innowacyjnym podejściem jest zastosowanie materiałów biokompatybilnych, które minimalizują ryzyko odrzutu implantu przez organizm. Warto również zwrócić uwagę na rozwój technik chirurgicznych, takich jak implantacja natychmiastowa, która pozwala na umieszczenie implantu w tym samym dniu, co ekstrakcja zęba. To znacząco skraca czas leczenia i zwiększa komfort pacjenta. Również laseroterapia staje się coraz bardziej popularna w implantologii, umożliwiając szybsze gojenie tkanek oraz mniejsze ryzyko powikłań pooperacyjnych.
Jakie są zalety i wady implantów zębowych?
Decyzja o wyborze implantów zębowych wiąże się z wieloma korzyściami, ale także pewnymi wadami, które warto rozważyć przed podjęciem ostatecznej decyzji. Do głównych zalet implantów należy ich trwałość; przy odpowiedniej pielęgnacji mogą one służyć przez wiele lat, a nawet całe życie. Implanty wyglądają i funkcjonują jak naturalne zęby, co znacząco poprawia komfort życia pacjentów oraz ich estetykę uśmiechu. Dodatkowo, implanty pomagają w zachowaniu struktury kości szczęki, co jest istotne dla zdrowia jamy ustnej. Z drugiej strony, istnieją pewne wady związane z tym rozwiązaniem. Przede wszystkim koszt implantów może być znaczny, co dla wielu osób stanowi barierę finansową. Ponadto zabieg wszczepienia implantu wymaga przeprowadzenia operacji chirurgicznej, co wiąże się z ryzykiem powikłań oraz długim procesem gojenia. Nie każdy pacjent kwalifikuje się do tego typu leczenia; osoby z chorobami przyzębia czy niewystarczającą ilością kości mogą potrzebować dodatkowych zabiegów przed wszczepieniem implantu.
Jak przygotować się do zabiegu wszczepienia implantu?
Przygotowanie do zabiegu wszczepienia implantu jest kluczowym etapem, który ma wpływ na jego powodzenie oraz komfort pacjenta. Na początku warto umówić się na konsultację ze specjalistą, który przeprowadzi szczegółowy wywiad medyczny oraz oceni stan zdrowia jamy ustnej. W trakcie wizyty lekarz może zalecić wykonanie zdjęć rentgenowskich lub tomografii komputerowej, aby dokładnie ocenić warunki anatomiczne i zaplanować zabieg. Ważnym krokiem jest także omówienie dotychczasowego leczenia stomatologicznego oraz ewentualnych chorób przewlekłych, które mogą wpłynąć na proces gojenia. Pacjenci powinni również zadbać o odpowiednią higienę jamy ustnej przed zabiegiem; czyszczenie zębów oraz stosowanie płukanek antybakteryjnych może pomóc w zmniejszeniu ryzyka infekcji pooperacyjnych. W dniu zabiegu warto przybyć na umówioną godzinę bezpośrednio po lekkim posiłku; niektóre kliniki mogą zalecać unikanie jedzenia przed zabiegiem ze względu na znieczulenie ogólne lub miejscowe.
Jak wygląda proces gojenia po wszczepieniu implantu?
Proces gojenia po wszczepieniu implantu jest kluczowym etapem leczenia i może trwać od kilku tygodni do kilku miesięcy, w zależności od indywidualnych warunków pacjenta oraz zastosowanej metody chirurgicznej. Po zabiegu pacjent może odczuwać dyskomfort lub ból w okolicy implantu; lekarz zazwyczaj przepisuje leki przeciwbólowe oraz antybiotyki w celu zapobiegania infekcjom. Ważne jest również przestrzeganie zaleceń dotyczących diety; przez pierwsze dni po zabiegu zaleca się spożywanie miękkich pokarmów oraz unikanie gorących napojów czy alkoholu. Regularne wizyty kontrolne u stomatologa są niezbędne do monitorowania procesu gojenia oraz oceny stanu implantu. W przypadku wystąpienia jakichkolwiek niepokojących objawów, takich jak obrzęk czy wydzielina ropna, należy niezwłocznie skontaktować się z lekarzem. Po zakończeniu procesu gojenia następuje etap odbudowy protetycznej, podczas którego na implancie umieszczana jest korona protetyczna lub mostek.
Jak dbać o implanty zębowe po ich wszczepieniu?
Prawidłowa pielęgnacja implantów zębowych jest kluczowa dla ich trwałości oraz zdrowia jamy ustnej po zakończeniu leczenia. Podstawową zasadą jest utrzymanie wysokiego poziomu higieny jamy ustnej; regularne szczotkowanie zębów co najmniej dwa razy dziennie oraz nitkowanie to podstawowe czynności, które pomagają usunąć resztki pokarmowe i płytkę bakteryjną gromadzącą się wokół implantu. Warto również stosować płukanki antybakteryjne zalecane przez stomatologa, które mogą pomóc w zapobieganiu stanom zapalnym dziąseł wokół implantu. Regularne wizyty kontrolne u stomatologa są niezbędne do monitorowania stanu zdrowia jamy ustnej oraz oceny kondycji implantu; lekarz może wykonać profesjonalne czyszczenie oraz ocenić ewentualną potrzebę dodatkowych zabiegów pielęgnacyjnych. Ponadto ważne jest unikanie twardych pokarmów oraz nawyków szkodliwych dla zdrowia jamy ustnej, takich jak gryzienie paznokci czy otwieranie opakowań zębami.
Czy implanty są odpowiednie dla każdego pacjenta?
Implanty zębowe to skuteczne rozwiązanie dla wielu osób borykających się z brakami w uzębieniu, jednak nie każdy pacjent kwalifikuje się do tego typu leczenia. Istnieje kilka czynników wpływających na możliwość przeprowadzenia zabiegu wszczepienia implantu. Przede wszystkim kluczowa jest ogólna kondycja zdrowotna pacjenta; osoby cierpiące na choroby przewlekłe takie jak cukrzyca czy choroby serca powinny być szczególnie ostrożne i skonsultować się ze specjalistą przed podjęciem decyzji o leczeniu implantologicznym. Kolejnym istotnym aspektem jest stan kości szczęki; aby wszczepić implant, konieczna jest odpowiednia ilość i jakość tkanki kostnej wokół miejsca wszczepienia. W przypadku jej niedoboru lekarz może zalecić dodatkowe procedury regeneracyjne przed przystąpieniem do właściwego zabiegu. Również palenie tytoniu może negatywnie wpłynąć na proces gojenia i zwiększyć ryzyko powikłań pooperacyjnych; dlatego pacjenci palący powinni rozważyć rzucenie palenia przed planowanym zabiegiem.
Jak długo trwa proces rehabilitacji po wszczepieniu
Jak długo trwa proces rehabilitacji po wszczepieniu implantu?
Proces rehabilitacji po wszczepieniu implantu zębowego jest zróżnicowany i może trwać od kilku tygodni do kilku miesięcy, w zależności od indywidualnych warunków pacjenta oraz zastosowanej metody leczenia. Po zabiegu chirurgicznym następuje okres gojenia, który zazwyczaj trwa od 3 do 6 miesięcy; w tym czasie implant integruje się z kością, co jest kluczowe dla jego stabilności. W przypadku pacjentów, którzy przeszli dodatkowe zabiegi, takie jak przeszczepy kości, czas gojenia może być dłuższy. Po zakończeniu procesu integracji następuje etap odbudowy protetycznej, podczas którego na implancie umieszczana jest korona lub mostek. Cały proces wymaga cierpliwości oraz regularnych wizyt kontrolnych u stomatologa, który monitoruje postępy gojenia oraz ocenia stan implantu. Warto również pamiętać, że odpowiednia pielęgnacja jamy ustnej oraz przestrzeganie zaleceń lekarza mogą przyspieszyć rehabilitację i zapewnić długotrwałe efekty leczenia.








